- HOME>
- ホワイトニング
ホワイトニングで歯を白くして見た目の第一印象アップ!
ともデンタルのホワイトニングとは?

今注目を集めている 「ホワイトニング」なら、歯に直接薬液を浸透させ漂白させることで、歯を削ることなく白い歯を手に入れることが出来ます。
当院で使用しているホワイトニングには歯科医院で行うオフィスホワイトニングとご自宅で行なえるホームホワイトニングの2つがあります。
- オフィスホワイトニング
-
当院のオフィスホワイトニングは以前のオフィスホワイトニングより“しみにくく”、白くなります。当院では1回目のホワイトニングの1週間~10日後に2回目をすることをおススメしています。
- ホームホワイトニング
-
ホームホワイトニングについては、専用の患者様個々に製作した器具を1~2時間ほどつけていただくものです。
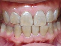
当院のホワイトニングの症例紹介
ホワイトコートとは?

ホワイトコートとは、歯を削らず、即日で、思い通りの白さを再現できる材料です。
歯に塗るマニキュアともいわれています。
手軽に白くできるため、お化粧感覚でしたり、結婚式やパーティーの前にされる方もいらっしゃいます。
ホワイトニングを受けたあとの注意点は?
ひとによってホワイトニングをした後に知覚過敏がでることがあります。しかし、一過性のもので長く続くことはありません。知覚過敏にはフッ素を含んだうがい薬が効果的です。
タバコや、コーヒー、コーラなどは歯に色がつく場合がありますので、なるべくひかえるようにしてください。
個人差はありますが、ホワイトニングは「あともどり」がおこる可能性があります。再度ホワイトニングすれば回復できますが、白く美しい歯をたもつためにも定期的に検診を受けることをおすすめします。








